
| TEL | 053-710-7107 | |
| Địa chỉ | Tầng 4, 35-1 Bongsan-dong, Jung-gu, Daegu | |
| Điều trị ngày thường (điều trị ca đêm) |
am 09:30 - pm 9:00 Thông báo riêng về các ngày nghỉ lễ |
|
| Thứ 7 | am 09:30 - pm 5:00 |
Cải thiện tình trạng da tổng thể bằng chất tăng cường da cao cấp
tạo ra collagen trong da về cơ bản.
trong vòng 30 phút
không
kem ủ tê
không
xuất viện trong ngày
hiệu quả tức thì
CaHA là một hạt hình cầu mịn, có kích thước đồng đều,
tác động trực tiếp với các nguyên bào sợi ở lớp trung bì
để tạo ra 5 yếu tố chính giúp cải thiện ngoại bào ở lớp trung bì.
Nó đóng vai trò là vali lưu giữ CaHA và tồn tại trong da trong vài tuần
sau đó bị phân hủy và bài tiết một cách tự nhiên.
Nó kích hoạt các thành phần bằng cách tiếp xúc trực tiếp với các nguyên bào sợi và tạo ra đàn hồi giúp duy trì độ đàn hồi và độ dày của da.
trước thủ thuật
sau 4 tháng
sau 7 tháng
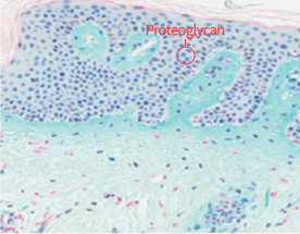
Cung cấp proteoglycan giúp bổ sung độ săn chắc, độ ẩm và cải thiện cấu trúc da.
trước thủ thuật
Sau thủ thuật
Tạo ra các mạch máu mới, cải thiện lưu lượng máu và cung cấp dinh dưỡng cho da.
Cải thiện lớp trung bì của da bị mỏng do lão hóa, điều trị thường xuyên và kích thích bên ngoài,
trước thủ thuật
Sau 4 tháng
(độ dày tầng trung bì tăng 12%)
Sau 7 tháng
(độ dày tầng trung bì tăng 27%)
Hình dạng hạt với kích thước nhất định và bề mặt nhẵn cho phép nguyên bào sợi hoạt động tốt và được tối ưu hóa để sản xuất vật liệu tái tạo cho ECM (chất ngoại bào)
(nếu hạt phân tử sắc nhọn và không đều có thể xảy ra phản ứng viêm)
Radiesse
(25~45um/Microsphere)
Sản phẩm A
(30~60um/Crystal)
Sản phẩm B
(20~80um/không đều)
Vi hạt CaHA nguyên vẹn
Các hạt CaHA bị phân hủy một phần
Theo thời gian, nó dần dần bị phân hủy thành các ion canxi và ion photphat thông qua quá trình trao đổi chất bình thường và được hấp thụ.
Nó duy trì hình dạng hình cầu trong suốt quá trình, cho thấy tác dụng thúc đẩy tái tạo collagen ổn định mà không gây kích ứng da.
Thúc đẩy sản xuất collagen cho làn da ẩm và sáng
Hiệu quả đối với các nếp nhăn từ trung bình đến sâu
Độ nhớt và độ đàn hồi cao giúp vùng điều trị không bị lan rộng
Hiệu quả trong việc nâng cao đường nét săn chắc của mũi và cằm
Cảm giác mềm mại và hình dạng tự nhiên
Hiệu quả kéo dài từ 1 đến 2 năm sau điều trị
Sau thủ thuật, nó sẽ được phân hủy từ từ và hấp thụ tự nhiên vào cơ thể.
Đây là sản phẩm tăng cường da đã được
Bộ An toàn Thực phẩm và Dược phẩm Hàn Quốc (KFDA),
FDA Mỹ và CE của Châu Âu phê duyệt,
hơn 15 triệu cái đã được sử dụng trên thị trường làm đẹp
trong 21 năm và có hơn 200 bài luận văn lâm sàng.
Nó có thể thay đổi tùy theo độ tuổi và độ đàn hồi của da,
nhưng nên dùng từ 1 đến 2 ống tiêm.
Có sự khác biệt ở từng cá nhân về vùng điều trị,
liều lượng, v.v., nhưng khi điều trị một lần
sẽ duy trì khoảng 1~2 năm. Nếu bạn muốn có
kết quả cao hơn, chúng tôi khuyên bạn
nên lặp lại điều trị 2-3 lần.
Người lo ngại về sự an toàn và tác dụng phụ
Người muốn cải thiện chất lượng da tự nhiên
Người không hài lòng với tác dụng của
thuốc tăng cường collagen & thuốc tăng cường da trước đây
Người muốn duy trì hiệu quả lâu dài
Người nhạy cảm với dấu vết kim tiêm
Người muốn cải thiện cấu trúc da bị hư tổn


| TEL | 053-710-7107 | |
| Địa chỉ | Tầng 4, 35-1 Bongsan-dong, Jung-gu, Daegu | |
| Điều trị ngày thường (điều trị ca đêm) |
am 09:30 - pm 9:00 Thông báo riêng về các ngày nghỉ lễ |
|
| Thứ 7 | am 09:30 - pm 5:00 |
■ Chính sách quyền riêng tư của Bệnh viện Thẩm mỹ Edge
Bệnh viện thẩm mỹ Edge (http://edge01.co/kr) rất coi trọng việc bảo vệ thông tin cá nhân của bạn và tuân thủ 『Luật bảo vệ thông tin cá nhân』.
Thông qua chính sách xử lý thông tin cá nhân của mình, Bệnh viện thẩm mỹ Edge thông báo cho bạn về mục đích và phương pháp sử dụng thông tin cá nhân bạn cung cấp cũng như các biện pháp đang được thực hiện để bảo vệ thông tin cá nhân.
Thứ tự của chính sách bảo mật này như sau.
1. Hạng mục thông tin cá nhân được thu thập và phương pháp thu thập
2. Mục đích thu thập và sử dụng thông tin cá nhân
3. Thời gian lưu giữ và sử dụng thông tin cá nhân
4. Thủ tục và phương pháp tiêu hủy thông tin cá nhân
5. Cách rút lại sự đồng ý/rút tư cách thành viên
6. Các vấn đề liên quan đến việc cài đặt/vận hành và từ chối các thiết bị thu thập thông tin cá nhân tự động
7. Người chịu trách nhiệm quản lý thông tin cá nhân
1. Hạng mục thông tin cá nhân được thu thập và phương pháp thu thập
Bệnh viện thẩm mỹ Edge chỉ thu thập lượng thông tin cá nhân tối thiểu cần thiết để sử dụng dịch vụ khi đăng ký làm thành viên.
[Mục thu thập khi đăng ký hội viên trang chủ]
- Hạng mục bắt buộc: Họ tên, ID, mật khẩu, ngày tháng năm sinh, số điện thoại (di động đi động, điện thoại bàn), email, giới tính
- Các thông tin sau có thể được tạo ra và thu thập tự động trong quá trình sử dụng dịch vụ hoặc quá trình cung cấp dịch vụ.
: Hồ sơ sử dụng dịch vụ, nhật ký truy cập, cookie, thông tin IP truy cập
[Phương pháp thu thập thông tin cá nhân]
- Chúng tôi thu thập thông tin cá nhân theo những cách sau.
Trang chủ, mẫu văn bản, fax, điện thoại, bảng thông báo tư vấn, email
2. Mục đích thu thập và sử dụng thông tin cá nhân
Bệnh viện thẩm mỹ Edge sử dụng thông tin cá nhân được thu thập cho các mục đích sau.
- Cung cấp nội dung, thanh toán phí phù hợp với việc thực hiện hợp đồng và cung cấp dịch vụ liên quan đến việc cung cấp dịch vụ
- Quản lý hội viên
Xác minh danh tính, nhận dạng cá nhân, xác nhận ý định tham gia, ngăn chặn việc sử dụng trái phép của các thành viên quá hạn và sử dụng trái phép, xác minh độ tuổi, xử lý các bất mãn như xử lý khiếu nại, gửi thông báo theo việc sử dụng dịch vụ thành viên.
- Dùng cho marketing và quảng cáo
Thống kê về việc sử dụng dịch vụ của các thành viên hoặc nắm bắt tần suất truy cập, cung cấp dịch vụ và đăng quảng cáo theo đặc điểm thống kê dân số, truyền tải thông tin quảng cáo như sự kiện.
3. Thời gian lưu giữ và sử dụng thông tin cá nhân
Về nguyên tắc, sau khi đạt được mục đích thu thập và sử dụng thông tin cá nhân, thông tin đó sẽ bị hủy ngay lập tức.
Tuy nhiên, nếu cần bảo quản theo quy định của pháp lệnh liên quan, bệnh viện sẽ giữ lại thông tin thành viên trong một khoảng thời gian nhất định theo quy định của pháp lệnh liên quan như sau.
Hạng mục bảo quản: Tên, ID, mật khẩu, ngày tháng năm sinh, số điện thoại (điện thoại di động, điện thoại bàn), email, giới tính
Cơ sở bảo tồn: Chính sách nội bộ bệnh viện
Thời gian bảo tồn: Cho đến khi rút tư cách thành viên
Tuy nhiên, ngay cả khi đã đạt được mục đích thu thập hoặc cung cấp, thông tin cá nhân của bạn vẫn có thể được lưu giữ nếu cần bảo quản theo quy định của pháp luật như Luật thương mại.
Hồ sơ khiếu nại, xử lý tranh chấp của người tiêu dùng: 3 năm (Luật bảo vệ người tiêu dùng trong thương mại điện tử,…).
- Hồ sơ thu thập/xử lý và sử dụng thông tin tín dụng: 3 năm (Luật sử dụng và bảo vệ thông tin tín dụng)
- Hồ sơ xác minh danh tính: 6 tháng (Luật Khuyến khích sử dụng mạng thông tin và truyền thông và bảo vệ thông tin, v.v.)
- Hồ sơ thăm viếng: 3 tháng (Luật bảo vệ bí mật thông tin liên lạc)
4. Thủ tục và phương pháp tiêu hủy thông tin cá nhân
Bệnh viện thẩm mỹ Edge ngay lập tức hủy thông tin cá nhân sau khi đã đạt được mục đích thu thập và sử dụng thông tin cá nhân. Thủ tục và phương pháp tiêu hủy như sau.
[Thủ tục hủy bỏ]
Thông tin người sử dụng nhập để đăng ký hội viên sau khi đạt được mục đích sẽ bị hủy bỏ ngay lập tức theo phương pháp hủy bỏ.
[Phương pháp hủy bỏ]
Thông tin cá nhân được lưu trữ ở định dạng tệp điện tử sẽ bị xóa bằng các phương pháp kỹ thuật khiến hồ sơ không thể phục hồi được.
Thông tin cá nhân in trên giấy sẽ bị tiêu hủy bằng cách cắt vụn bằng máy cắt hoặc đốt.
5. Cách rút lại sự đồng ý/rút tư cách thành viên
Bạn có thể rút lại sự đồng ý của mình đối với việc thu thập, sử dụng và cung cấp thông tin cá nhân khi đăng ký làm thành viên bất cứ lúc nào.
Để rút tư cách thành viên, hãy nhấp vào 『Hủy tư cách thành viên』 trên trang Trang của tôi tại trang chủ Bệnh viện thẩm mỹ Edge sau khi thực hiện quy trình xác minh danh tính để rút tư cách thành viên trực tiếp hoặc liên hệ với người phụ trách quản lý thông tin cá nhân qua văn bản, điện thoại hoặc fax chúng tôi sẽ thực hiện các biện pháp cần thiết, chẳng hạn như hủy bỏ thông tin cá nhân của bạn ngay lập tức.
- Gửi hồ sơ bệnh án để yêu cầu chi phí trợ cấp điều dưỡng cho Viện Đánh giá và thẩm định Bảo hiểm Y tế theo Luật Bảo hiểm Y tế Quốc gia
- Nếu cần thiết cho việc viết thống kê và nghiên cứu học thuật, nó sẽ được xử lý và cung cấp dưới dạng không xác định danh tính cá nhân cụ thể.
- Nộp hồ sơ khi cơ quan điều tra yêu cầu theo đúng thủ tục, phương pháp do pháp luật quy định...
6. Các vấn đề liên quan đến việc cài đặt/vận hành và từ chối các thiết bị thu thập thông tin cá nhân tự động
Bệnh viện thẩm mỹ Egde vận hành các 'cookie' để lưu trữ và truy xuất thông tin của bạn thường xuyên.
Cookie là một tệp văn bản rất nhỏ được gửi tới trình duyệt của bạn bởi máy chủ dùng để chạy trang chủ Bệnh viện thẩm mỹ Edge và được lưu trữ trên đĩa cứng máy tính của bạn.
Bệnh viện thẩm mỹ Edge sử dụng cookie cho các mục đích sau.
Bạn có tùy chọn để cài đặt cookie. Do đó, bằng cách cài đặt các tùy chọn trong trình duyệt web, bạn có thể cho phép tất cả cookie, xác nhận mỗi lần lưu cookie hoặc từ chối lưu tất cả cookie.
Nếu bạn từ chối cài đặt cookie, việc cung cấp một số dịch vụ có thể khó khăn.
7. Người chịu trách nhiệm quản lý thông tin cá nhân
Nhằm bảo vệ thông tin cá nhân của bạn và giải quyết các khiếu nại liên quan đến thông tin cá nhân, Bệnh viện Thẩm mỹ Edge có người chịu tránh nhiệm quản lý thông tin cá nhân như sau.
[Người quản lý thông tin cá nhân]
Tên: Choi Dong Sik
Chức vụ: Viện trưởng
Trực thuộc: Bệnh viện thẩm mỹ Edge
Số điện thoại: (053)-710-7107
Email: edge0501@naver.com
Bạn có thể báo cáo mọi khiếu nại liên quan đến bảo vệ thông tin cá nhân phát sinh khi sử dụng dịch vụ của Bệnh viện thẩm mỹ Edge cho người phụ trách quản lý thông tin cá nhân.
Bệnh viện thẩm mỹ Edge sẽ cung cấp phản hồi nhanh chóng và đầy đủ cho các báo cáo của người dùng.
Nếu bạn cần báo cáo hoặc tư vấn về các hành vi xâm phạm thông tin cá nhân khác, vui lòng liên hệ với các tổ chức bên dưới.
Ủy ban hòa giải tranh chấp cá nhân (http://www.1336.or.kr/1336)
Ủy ban chứng nhận nhãn hiệu bảo vệ thông tin (http://www.eprivacy.or.kr / (02) 580-0533~4)
Đội điều tra tội phạm mạng của Văn phòng Công tố Tối cao (http://www.spo.go.kr/ (02) 3480-3573)
Trung tâm ứng phó khủng bố mạng của Cơ quan cảnh sát quốc gia (http://www.ctrc.go.kr/ (02) 392-0330)
■Từ chối thu thập địa chỉ email trái phép
Vui lòng lưu ý rằng địa chỉ email được đăng tải trên trang web này từ chối thu thập trái phép bằng cách sử dụng chương trình thu thập thư điện tử hoặc các thiết bị kỹ thuật khác, và nếu vi phạm, nó sẽ bị xử phạt hình sự theo luật mạng thông tin và truyền thông.
■ Chính sách vận hành và quản lý thiết bị xử lý thông tin
Bệnh viện thẩm mỹ Edge thông báo cho bạn về mục đích, cách thức sử dụng và quản lý thông tin hình ảnh do bệnh viện chúng tôi xử lý thông qua chính sách quản lý và vận hành thiết bị xử lý thông tin hình ảnh.
Trình tự của chính sách quản lý và vận hành thiết bị xử lý thông tin video này như sau:
1. Cơ sở và mục đích lắp đặt thiết bị thông tin video
2. Số lượng thiết bị lắp đặt, vị trí lắp đặt phạm vi quay
3. Người chịu trách nhiệm quản lý và người có quyền truy cập
4. Thời gian quay, thời gian lưu trữ, vị trí lưu trữ và phương pháp xử lý thông tin video
5. Các vấn đề liên quan đến ủy thác lắp đặt, quản lý thiết bị xử lý thông tin video (trường hợp tương ứng)
6. Các vấn đề liên quan đến phương thức, địa điểm xác minh thông tin video cá nhân
7. Biện pháp xem và yêu cầu thông tin video từ chủ thể thông tin
8. Biện pháp đảm bảo an toàn thông tin video
9. Các vấn đề liên quan đến thay đổi chính sách xử lý thông tin cá nhân
1. Cơ sở và mục đích lắp đặt thiết bị thông tin video
Theo khoản 1 điều 25 của Luật bảo vệ thông tin cá nhân, bệnh viện chúng tôi lắp đặt và vận hành thiết bị xử lý thông tin video cho các mục đích sau.
- An toàn cơ sở vật chất và phòng chống cháy nổ
- Ngăn chặn tội phạm đảm bảo an toàn cho khách hàng
2. Số lượng thiết bị lắp đặt, vị trí lắp đặt phạm vi quay
- Số lượng lắp đặt: 32 máy
- Vị trí lắp đặt và phạm vi quay: phòng chờ, hành lang, phòng mổ, phòng thủ tục,..
3. Người chịu trách nhiệm quản lý và người có quyền truy cập
Người chịu trách nhiệm quản lý: Choi Dong Sik [Chức vị: viện trưởng; trực thuộc: Bệnh viện thẩm mỹ Edge; liên lạc: (053)-710-7107]
Người có quyền truy cập: Choi Dong Sik [Chức vị: viện trưởng; trực thuộc: Bệnh viện thẩm mỹ Edge; liên lạc: (053)-710-7107]
4. Thời gian quay, thời gian lưu trữ, vị trí lưu trữ và phương pháp xử lý thông tin video
- Thời gian quay: 24 giờ
- Thời gian lưu giữ: 30 ngày kể từ ngày quay
- Vị trí lưu trữ: Phòng của viện trưởng
- Phương pháp xử lí: Ghi lại, quản lý các yêu cầu của bên thứ ba về việc sử dụng, phá hủy, xem, v.v. ngoài mục đích sử dụng thông tin video cá nhân và xóa vĩnh viễn theo cách không thể khôi phục khi thời gian lưu trữ kết thúc.
(※ Tài liệu in sẽ được cắt nhỏ hoặc đốt.)
5. Các vấn đề liên quan đến ủy thác lắp đặt, quản lý thiết bị xử lý thông tin video (trường hợp tương ứng)
Bệnh viện chúng tôi ủy thác lắp đặt và quản lý thiết bị xử lý thông tin video như sau và quy định các vấn đề cần thiết để đảm bảo thông tin cá nhân được quản lý an toàn khi ký kết hợp đồng ủy thác theo quy định của pháp luật có liên quan.
Công ty ủy thác: S1 (Secom)
- Người phụ trách: Shin Yong-hoon
- Liên hệ: 1588-3112
6. Các vấn đề liên quan đến phương thức, địa điểm xác minh thông tin video cá nhân
Phương pháp kiểm tra: Bạn có thể kiểm tra bằng cách liên hệ trước với người phụ trách quản lý thông tin video và đến bệnh viện chúng tôi.
- Địa điểm xác nhận: Phòng của Viện trưởng
7. Biện pháp xem và yêu cầu thông tin video từ chủ thể thông tin
Bạn có thể yêu cầu người điều hành thiết bị xử lý thông tin hình ảnh bất cứ khi nào bạn muốn xem, xác nhận sự tồn tại hoặc xóa thông tin cá nhân.
Tuy nhiên, thông tin video cá nhân mà quý vị quay được giới hạn trong thông tin video cá nhân cần thiết cho lợi ích của tài sản, cơ thể, tính mạng cấp bách của chủ thể thông tin rõ ràng.
Trong trường hợp yêu cầu xem, xác nhận sự tồn tại, xóa thông tin video cá nhân, chúng tôi sẽ xử lý cần thiết ngay lập tức.
8. Biện pháp đảm bảo an toàn thông tin video
Thông tin video được xử lý tại bệnh viện chúng tôi được quản lý an toàn thông qua các biện pháp mã hóa, v.v.
Ngoài ra, như một biện pháp quản lý thông tin video cá nhân, bệnh viện chúng tôi cấp các quyền truy cập khác nhau vào thông tin cá nhân và để ngăn chặn việc giả mạo và làm sai lệch thông tin video cá nhân, ngày và giờ tạo thông tin video cá nhân, mục đích xem, người xem , ngày giờ xem, v.v. đều được ghi lại và quản lý.
Ngoài ra, chúng tôi cài đặt một thiết bị khóa để đảm bảo lưu trữ vật lý an toàn thông tin video cá nhân.
9. Các vấn đề liên quan đến thay đổi chính sách xử lý thông tin cá nhân
Chính sách quản lý và vận hành thiết bị xử lý thông tin video này được ban hành vào ngày 1 tháng 5 năm 2020 và nếu có bổ sung, xóa hoặc sửa đổi nội dung do thay đổi về luật, chính sách hoặc công nghệ bổ sung chúng tôi sẽ thông báo cho bạn về lý do và nội dung thay đổi thông qua đăng trên trang chủ của bệnh viện hoặc bảng thông báo tại bệnh viện 7 ngày trước khi thực hiện.
- Ngày công bố: 01/05/2020
- Ngày có hiệu lực: 01/05/2020
'Phòng khám phẫu thuật thẩm mỹ Edge' (dưới đây gọi là 'Bệnh viện') coi trọng thông tin cá nhân của người dùng và tuân thủ Đạo luật bảo vệ thông tin cá nhân và “Quy định bảo vệ thông tin cá nhân” do Ủy ban Truyền thông Hàn Quốc thiết lập như “Đạo luật khuyến khích sử dụng mạng thông tin và truyền thông và bảo vệ thông tin, v.v.” Ngoài ra, chúng tôi đang cố gắng hết sức để bảo vệ quyền lợi của người sử dụng bằng cách chỉ định chính sách xử lý thông tin cá nhân dựa trên pháp lệnh có liên quan.
Thông qua chính sách xử lý thông tin cá nhân của mình, bệnh viện thông báo cho người dùng về mục đích và phương pháp sử dụng thông tin cá nhân do người dùng cung cấp cũng như cách quản lý thông tin cá nhân đó để bảo vệ thông tin cá nhân. Ngoài ra, bệnh viện tôn trọng quyền và lợi ích của chủ thể thông tin, chẳng hạn như yêu cầu xem, chỉnh sửa, xóa và đình chỉ xử lý thông tin cá nhân được lưu giữ theo luật pháp và quy định liên quan, và chủ thể thông tin phải tuân theo Đạo luật Khiếu nại Hành chính đối với hành vi vi phạm các quyền và lợi ích theo các luật và quy định này có thể được yêu cầu phán quyết hành chính theo quyết định. Chính sách này có hiệu lực từ ngày 1 tháng 1 năm 2020.
Điều 1 (các mục và phương pháp thu thập thông tin cá nhân được thu thập)
Khi thu thập thông tin cá nhân, bệnh viện sẽ thông báo trước về phạm vi và mục đích thu thập khi đăng ký gia nhập hoặc điều khoản sử dụng theo luật có liên quan. Các hạng mục thu thập thông tin cá nhân như sau.
■ Mục thu thập khi đăng ký hội viên trên trang chủ
○ Hạng mục thu thập: Tên, ID, mật khẩu, email, giới tính, địa chỉ sinh nhật, địa chỉ nhà, số điện thoại di động, số điện thoại di động , số điện thoại , log truy cập , cookie thông tin IP truy cập
○ Phương pháp thu thập thông tin cá nhân: Trong quá trình sử dụng dịch vụ (đăng ký hội viên, đặt trước trực tuyến, tư vấn trực tuyến, tư vấn sau phẫu thuật) hoặc trong quá trình xử lý nghiệp vụ cung cấp dịch vụ, các thông tin sau đây có thể được tự động tạo ra và thu thập.
■ Hạng mục thu thập khi điều trị
○ Hạng mục bắt buộc: Tên, giới tính, ngày tháng năm sinh, số điện thoại (bao gồm số điện thoại của người giám hộ), địa chỉ, email, chiều cao, cân nặng, nhóm máu, lịch sử phẫu thuật trước đây.
○ Thông tin sức khỏe: Thông tin sức khỏe cá nhân được đánh giá là cần thiết cho nhân viên y tế để cung cấp các dịch vụ y tế như lịch sử gia đình và tiền sử gia đình.
■ Các khoản thu khi thanh toán chi phí điều trị
○ Khi thanh toán bằng thẻ tín dụng: Thông tin phê duyệt thanh toán thẻ như tên công ty thẻ và số thẻ
* Nếu thông tin cá nhân được thu thập trong một khoảng thời gian ngắn cho các mục đích cụ thể khác, thông tin đó sẽ được thông báo và thu thập riêng.
■ Phương pháp thu thập thông tin cá nhân
○ Thu thập thông qua website, văn bản, fax, điện thoại, bảng thông báo tư vấn, email, v.v.
Điều 2 (Mục đích thu thập và sử dụng thông tin cá nhân).
Bệnh viện sử dụng thông tin cá nhân được thu thập cho các mục đích sau. Tất cả thông tin do người dùng cung cấp sẽ không được sử dụng cho các mục đích khác ngoài những mục đích được yêu cầu cho các mục đích sau và sẽ phải có sự đồng ý trước nếu mục đích sử dụng thay đổi.
○ Thủ tục xác minh danh tính để điều trị/xét nghiệm/yêu cầu và điều trị y tế ○ Dịch vụ chẩn đoán và điều trị
○ Các dịch vụ hành chính như yêu cầu chi phí điều trị, thanh toán, hoàn tiền, v.v.
○ Gửi hóa đơn, báo cáo và chứng nhận chi phí y tế cũng như gửi thuốc/vật tư và kết quả
○ Lô hàng kiểm tra trực tuyến/ngoại tuyến, yêu cầu kiểm tra bên ngoài
○ Đảm bảo các kênh liên lạc hỗ trợ giải quyết khiếu nại/khiếu nại, v.v.
○ Các giải pháp và biện pháp xử lý hành chính và pháp lý đối với quản lý chất lượng y tế và vận hành bệnh viện
○ Dữ liệu phân tích tối thiểu cần thiết cho giáo dục và nghiên cứu
○ Thông tin y tế, thông tin học tập, thông tin bệnh viện
Điều 3 (Cung cấp và chia sẻ thông tin cá nhân)
Trừ trường hợp có sự đồng ý của bạn hoặc phù hợp với quy định của pháp luật liên quan, trong mọi trường hợp, bệnh viện sẽ không sử dụng thông tin cá nhân của bạn ngoài phạm vi được thông báo trong 『Mục đích thu thập và sử dụng thông tin cá nhân』 hoặc không cung cấp thông tin đó cho người khác hoặc các công ty hoặc tổ chức khác. Tuy nhiên, ngoại lệ được thực hiện trong các trường hợp sau.
○ Nộp hồ sơ y tế để yêu cầu chi phí phúc lợi chăm sóc y tế cho Dịch vụ Đánh giá và Đánh giá Bảo hiểm Y tế theo Đạo luật Bảo hiểm Y tế Quốc gia
○ Khi người dùng đồng ý tiết lộ trước
○ Khi có yêu cầu của cơ quan điều tra theo quy định của pháp luật hoặc theo thủ tục, phương pháp được pháp luật quy định nhằm mục đích điều tra.
○ Khi cần thiết cho việc tổng hợp thống kê hoặc nghiên cứu học thuật và được cung cấp dưới hình thức không xác định danh tính cá nhân cụ thể.
Điều 4 (Thời gian lưu giữ và sử dụng thông tin cá nhân)
Thời gian lưu giữ và sử dụng thông tin cá nhân
Thông tin cá nhân của bạn sẽ bị hủy bỏ khi đạt được mục đích thu thập thông tin cá nhân hoặc mục đích nhận được như sau.
- Đối với thông tin gia nhập hội viên, khi rút khỏi hội viên hoặc bị khai trừ khỏi hội viên.
- Đối với trường hợp đặt trước, khi hoàn tất xử lý, điều trị theo lịch hẹn.
Nếu có nhu cầu tiếp tục lưu giữ thông tin của bạn bất chấp thời gian lưu giữ nêu trên, chúng tôi sẽ nhận được sự đồng ý của bạn.
Các biện pháp kỹ thuật để bảo vệ thông tin cá nhân
Khi xử lý thông tin cá nhân của bạn, Phòng khám phẫu thuật thẩm mỹ Edge đang thực hiện các biện pháp kỹ thuật sau để đảm bảo an toàn và ngăn chặn thông tin cá nhân bị mất, bị đánh cắp, rò rỉ, thay đổi hoặc hư hỏng.
Thông tin cá nhân của bạn được bảo vệ bằng mật khẩu và dữ liệu quan trọng được bảo vệ thông qua chức năng bảo mật riêng bằng cách mã hóa tệp và dữ liệu truyền hoặc sử dụng chức năng khóa tệp.
Phòng khám phẫu thuật thẩm mỹ Edge sử dụng các thiết bị xác thực và bảo mật có thể truyền thông tin cá nhân trên mạng một cách an toàn bằng cách sử dụng xác thực thành viên và các thuật toán mã hóa liên quan và khi nó không được triển khai do hoàn cảnh hệ thống, xác nhận của bác sĩ sẽ được thực hiện bởi trợ lý.
Để ngăn thông tin cá nhân của bạn bị rò rỉ do hack, v.v., chúng tôi sử dụng các thiết bị chặn xâm nhập từ bên ngoài và hệ thống phát hiện xâm nhập được cài đặt trên mỗi máy chủ để giám sát các hành vi xâm nhập 24 giờ mỗi ngày.
Điều 5 (Quyền của người sử dụng, người đại diện hợp pháp và cách thức thực hiện)
Nếu khách hàng yêu cầu xem, chỉnh sửa hoặc xóa thông tin cá nhân, bệnh viện sẽ phản hồi trung thực yêu cầu của khách hàng và xử lý ngay lập tức. Để bảo vệ thông tin cá nhân, chúng tôi không cung cấp các quy trình xem, chỉnh sửa hoặc xóa thông tin cá nhân của khách hàng qua điện thoại, thư, fax hoặc các phương thức ứng dụng khác ngoài việc truy cập của khách hàng.
■ Xem thông tin cá nhân Khách hàng có thể đến bệnh viện và yêu cầu xem thông tin cá nhân, chúng tôi sẽ phản hồi kịp thời.
■ Chỉnh sửa/xóa thông tin cá nhân
1. Nếu khách hàng yêu cầu chỉnh sửa hoặc xóa thông tin cá nhân, hoặc nếu việc chỉnh sửa hoặc xóa được coi là cần thiết, chẳng hạn như nếu thông tin cá nhân được phát hiện có sai sót, bệnh viện sẽ thực hiện chỉnh sửa hoặc xóa ngay lập tức. Bệnh viện có thể yêu cầu các tài liệu hỗ trợ cần thiết để xác minh sự thật về việc chỉnh sửa hoặc xóa.
2. Khi khách hàng yêu cầu xem, chỉnh sửa hoặc xóa thông tin cá nhân của mình, danh tính của khách hàng sẽ được xác minh bằng cách xuất trình các giấy tờ tùy thân như thẻ đăng ký cư trú, hộ chiếu hoặc bằng lái xe thể hiện danh tính của khách hàng.
3. Nếu có lý do chính đáng để từ chối xem, chỉnh sửa hoặc xóa toàn bộ hoặc một phần thông tin cá nhân, bệnh viện sẽ thông báo cho khách hàng và giải thích lý do.
4. Người đại diện hợp pháp của trẻ em dưới 14 tuổi có thể yêu cầu xem, chỉnh sửa, xóa hoặc tạm dừng xử lý thông tin cá nhân của trẻ và phải nộp bằng chứng về mối quan hệ với trẻ và giấy tờ tùy thân.
Điều 6 (Các vấn đề liên quan đến việc cài đặt/vận hành và từ chối các thiết bị thu thập thông tin cá nhân tự động)
Bệnh viện vận hành các 'cookie' để lưu trữ và truy xuất thông tin của bạn theo thời gian. Cookie là một tệp văn bản rất nhỏ mà máy chủ dùng để chạy trang web của bệnh viện gửi tới trình duyệt của bạn và được lưu trữ trên đĩa cứng máy tính của bạn. Bệnh viện sử dụng cookie cho các mục đích sau:
○ Chúng tôi phân tích tần suất truy cập và thời gian truy cập của các thành viên và không phải thành viên, xác định thị hiếu và mối quan tâm của người dùng và sử dụng chúng làm thước đo cho việc cải cách dịch vụ.
○ Nó được sử dụng làm dữ liệu để xác định số lượt tham dự các sự kiện khác nhau do bệnh viện tổ chức và cung cấp thông tin khác biệt tùy theo sở thích cá nhân. Bạn có tùy chọn để cài đặt cookie. Do đó, bằng cách cài đặt các tùy chọn trong trình duyệt web, bạn có thể cho phép tất cả cookie, xác nhận mỗi lần lưu cookie hoặc từ chối lưu tất cả cookie. Nếu bạn từ chối cài đặt cookie, việc cung cấp một số dịch vụ có thể khó khăn.
Điều 7 (Người quản lý bảo vệ thông tin cá nhân)
Bệnh viện có sẵn các thiết bị bảo mật như một biện pháp kỹ thuật để bảo vệ thông tin cá nhân của người dùng. Tất cả thông tin do người dùng cung cấp đều được bảo vệ và quản lý an toàn bởi các thiết bị bảo mật như tường lửa. Ngoài ra, như một biện pháp quản lý để bảo vệ thông tin cá nhân của người dùng, bệnh viện thiết lập các quy trình cần thiết để truy cập và quản lý thông tin cá nhân của người dùng, hạn chế số lượng người xử lý thông tin cá nhân của người dùng ở mức tối thiểu và cung cấp đào tạo về bảo mật liên tục. Ngoài ra, chúng tôi sẽ chỉ định người sử dụng của hệ thống xử lý thông tin cá nhân và cung cấp mật khẩu người dùng và cập nhật định kỳ.
Điều 8 (Thu hồi sự đồng ý/Phương thức rút tư cách thành viên)
Bạn có thể rút lại sự đồng ý của mình đối với việc thu thập, sử dụng và cung cấp thông tin cá nhân khi đăng ký làm thành viên bất cứ lúc nào. Để rút tư cách thành viên, hãy nhấp vào 『Hủy tư cách thành viên』 trên Trang của tôi trên trang web của bệnh viện, thực hiện quy trình xác minh danh tính và rút tư cách thành viên trực tiếp hoặc liên hệ với Phòng Khiếu nại Bảo vệ Thông tin Cá nhân bằng văn bản, qua điện thoại hoặc fax và thông tin cá nhân của bạn sẽ sẽ bị xóa ngay lập tức. Chúng tôi sẽ thực hiện các biện pháp cần thiết, chẳng hạn như hủy thông tin.
Điều 9 (Nghĩa vụ thông báo do thay đổi chính sách) Chính sách xử lý thông tin cá nhân này có thể thay đổi theo những thay đổi của pháp luật và hướng dẫn có liên quan hoặc thay đổi trong chính sách điều hành nội bộ. Nếu “Chính sách xử lý thông tin cá nhân” của bệnh viện thay đổi, chúng tôi sẽ thông báo cho bạn qua trang web (http://edge1.co.kr).