엣지성형외과

본문 바로가기

엣지성형외과

본문 바로가기
나를 위한
엣지있는 시술은?

회원로그인

Skin Care

레디어스

RADIESSE

피부속 콜라겐을 근본적으로 생성하는
프리미엄 스킨부스터로 전체적인
피부 상태를 개선

radiesse model img

Surgery Information

레디어스란?

Calcium Hydroxylapatite 성분의 콜라겐 부스터입니다. 미국 FDA와 유럽 CE, 한국 KFDA 승인을 받은 생체 친화적으로 체내에서 자연스럽게 분해되며,
다른 제품보다 점성과 탄성이 좋은 칼슘 미네랄 성분으로 힘있는 입체감을 만들어 줄 뿐 아니라, 콜라겐 생성을 자극하여 피부의 탄성을 높여 줍니다.

Surgery Product

레디어스

radiesse_img01

레디어스 구성 성분

레디어스 주요작용

01. 콜라겐 및 엘라스틴 재생성

섬유아 세포와 직접 접촉하여 성분을 활성화시키며, 엘라스틴을 생성하여 피부의 탄력성두께감을 유지할 수 있도록 돕습니다.

콜라겐 재생성
  • radiesse_img02
  • radiesse_img03
  • radiesse_img04
엘라스틴 재생성
  • radiesse_img05

    시술 전

  • radiesse_img06

    4개월 후

  • radiesse_img07

    7개월 후

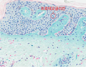
02. 프로테오글리칸 제공

프로테오글리칸을 제공하여 탄탄함과 수분 보충을 돕고 피부 구조 개선의 효과를 볼 수 있습니다.

  • radiesse_img08

    시술 전

  • radiesse_img09

    시술 후

03. 신혈관 생성

신혈관 생성을 하여 혈액의 흐름 개선피부 영양 공급을 합니다.

CD34 평균 수치(신혈관 지표)
  • radiesse_img10
04. 피부 진피층 두께 변화

노화, 잦은 시술, 외부 자극으로 인해 얇아진 피부의 진피층을 개선합니다.

  • radiesse_img11

    시술 전

  • radiesse_img12

    4개월 후
    (진피층 두께 12% 증가)

  • radiesse_img13

    7개월 후
    (진피층 두께 27% 증가)

레디어스 입자특징과 분해

일정한 크기와 매끈한 표면의 입자 형태로 섬유아세포가 잘 작용할 수 있게 해 ECM(세포외기질)의 재생 물질 생성에 최적화
(입자가 뾰족하고 불규칙적이면 염증반응이 나타날 수 있음)

  • radiesse_img14

    레디어스
    (25~45um/Microsphere)

  • radiesse_img15

    A제품
    (30~60um/Crystal)

  • radiesse_img16png

    B제품
    (20~80um/불규칙적)

분해과정
  • radiesse_img17

    손상되지 않은 CaHA 미립자

  • radiesse_img18

    부분적으로 분해된 CaHA 미립자

시간경과에 따라 정상적인 대사과정을 통해 천천히 칼슘이온과 인산이온으로 분해되어 흡수됨.
그 과정에서도 구형을 유지해 피부에 자극 없이 안정적인 콜라겐 재생 촉진효과를 나타냄

Surgery Effect

레디어스 효과

  • 01
    콜라겐 생성 촉진

    콜라겐 생성 촉진으로 촉촉하고 빛나는 피부로

  • 02
    주름 개선

    중간 정도의 주름부터 깊게 패인 주름까지 효과적

  • 03
    높은 점성과 탄성

    높은 점성과 탄성으로 시술 부위가 퍼짐 없이 유지

  • 04
    힘있는 입체감

    코, 턱의 탄탄한 라인 살리기에 효과적

  • 05
    자연스러움

    부드러운 촉감과 자연스러운 모양 유지

  • 06
    오랜 지속성

    시술 후 1~2년 동안 지속되는 효과

  • 07
    체내 분해

    시술 후 체내에서 서서히 분해되어 자연스럽게 흡수

※개인에 따라서 시술 효과의 차이가 있을 수 있습니다※

Q&A

레디어스 Q&A

  • Q
    레디어스는 안전한가요?
    A

    국내 식약처 KFDA, 미국 FDA 승인, 유렵 CE 승인을 받은 스킨부스터로 21년간 미용 시장에서 1500만개 이상 사용되었고 200편 이상의 임상 논문이 있습니다.

  • Q
    1회 추천 용량은 어느정도일까요?
    A

    연령대와 피부의 탄력 정도에 따라 다르겠지만
    1~2 실린지를 추천드립니다.

  • Q
    효과가 얼마나 지속되나요?
    A

    시술 부위, 용량 등 개인차가 있으나
    1회 시술 시1~2년정도 유지됩니다. 더 큰 효과를 원하시면 2~3회 반복 시술 추천드립니다.

Surgery Region

레디어스 시술부위

radiesse model img radiesse region model img

Check Point

레디어스 시술 대상

※본 이미지는 모델컷 입니다. 개인에 따라서 시술 효과의 차이가 있을 수 있습니다※

contact

contact

TEL 053-710-7107
도로명주소 대구 중구 동성로1길 28 4층
지번주소 대구 중구 봉산동 35-1 4층
평일진료

(야간진료)

am 09:30 - pm 9:00

공휴일 휴진 별도안내

토요일 am 09:30 - pm 5:00

엣지성형외과의원

facebook instagram blog youtube
주소 : 대구 중구 동성로1길 28 (봉산동 35-1) 4층    상호명 : 엣지성형외과의원
대표자 : 최동식ㅤ   사업자번호 : 202-65-07909ㅤ   TEL : 053)710-7107ㅤ   FAX : 053-710-8107
Copyright © 2022 EDGE, All right reserved

■ 엣지성형외과 개인정보취급방침


엣지성형외과(http://edge01.co/kr)는(은) 귀하의 개인정보보호를 매우 중요시하며,『개인정보보호법』을 준수하고 있습니다.

엣지성형외과는(은) 개인정보처리방침을 통하여 귀하께서 제공하시는 개인정보가 어떠한 용도와 방식으로 이용되고 있으며
개인정보보호를 위해 어떠한 조치가 취해지고 있는지 알려드립니다.
이 개인정보처리방침의 순서는 다음과 같습니다.

1. 수집하는 개인정보의 항목 및 수집방법
2. 개인정보의 수집 및 이용목적
3. 개인정보의 보유 및 이용기간
4. 개인정보의 파기절차 및 그 방법
5. 동의철회 / 회원탈퇴 방법
6. 개인정보 자동 수집 장치의 설치/운영 및 그 거부에 관한 사항
7. 개인정보관리책임자

1. 수집하는 개인정보의 항목 및 수집방법


엣지성형외과는(은) 회원가입 시 서비스 이용을 위해 필요한 최소한의 개인정보만을 수집합니다.
[홈페이지 회원가입 시 수집항목]
- 필수항목 : 성명, 아이디, 비밀번호, 생년월일, 연락처(전화번호, 휴대폰번호), 이메일, 성별
- 서비스 이용 과정이나 서비스 제공 업무 처리 과정에서 다음과 같은 정보들이 자동으로 생성되어 수집될 수 있습니다.
: 서비스 이용기록, 접속 로그, 쿠키, 접속 IP 정보

[개인정보 수집방법]
- 다음과 같은 방법으로 개인정보를 수집합니다.
홈페이지, 서면양식, 팩스, 전화, 상담 게시판, 이메일

2. 개인정보의 수집 및 이용목적


엣지성형외과는(은) 수집한 개인정보를 다음의 목적을 위해 활용합니다.
- 서비스 제공에 관한 계약 이행 및 서비스 제공에 따른 요금정산, 콘텐츠 제공
- 회원 관리
회원제 서비스 이용에 따른 본인확인 , 개인 식별 , 가입의사 확인, 불량회원의 부정 이용 방지와 비인가 사용 방지 , 연령확인 , 불만처리 등 민원처리 , 고지사항 전달
- 마케팅 및 광고에 활용
이벤트 등 광고성 정보 전달, 인구통계학적 특성에 따른 서비스 제공 및 광고 게재 , 접속 빈도 파악 또는 회원의 서비스 이용에 대한 통계

3. 개인정보의 보유 및 이용기간


원칙적으로, 개인정보 수집 및 이용목적이 달성된 후에는 해당 정보를 지체 없이 파기합니다.
단, 관계법령의 규정에 의하여 보존할 필요가 있는 경우 병원은 아래와 같이 관계법령에서 정한 일정한 기간 동안 회원정보를 보관합니다.
보존 항목 : 성명, 아이디, 비밀번호, 생년월일, 연락처(전화번호, 휴대폰번호), 이메일, 성별
보존 근거 : 병원내부방침
보존 기간 : 회원탈퇴시까지

다만, 수집목적 또는 제공받은 목적이 달성된 경우에도 상법 등 법령의 규정에 의하여 보존할 필요성이 있는 경우에는 귀하의 개인정보를 보유할 수 있습니다.
- 소비자의 불만 또는 분쟁처리에 관한 기록 : 3년 (전자상거래 등에서의 소비자보호에 관한 법률)
- 신용정보의 수집/처리 및 이용 등에 관한 기록 : 3년 (신용정보의 이용 및 보호에 관한 법률)
- 본인 확인에 관한 기록 : 6개월 (정보통신망 이용촉진 및 정보보호 등에 관한 법률)
- 방문에 관한 기록 : 3개월 (통신비밀보호법)

4. 개인정보의 파기절차 및 그 방법


엣지성형외과는(은) 『개인정보의 수집 및 이용목적』이 달성된 후에는 즉시 파기합니다. 파기절차 및 방법은 다음과 같습니다.
[파기절차]
이용자가 회원가입 등을 위해 입력한 정보는 목적이 달성된 후 파기방법에 의하여 즉시 파기합니다.
[파기방법]
전자적 파일형태로 저장된 개인정보는 기록을 재생할 수 없는 기술적 방법을 사용하여 삭제합니다.
종이에 출력된 개인정보는 분쇄기로 분쇄하거나 소각하여 파기합니다.

5. 동의철회 / 회원탈퇴 방법


귀하는 회원가입 시 개인정보의 수집ㆍ이용 및 제공에 대해 동의하신 내용을 언제든지 철회하실 수 있습니다.
회원탈퇴는 엣지성형외과 홈페이지 마이페이지의 『회원탈퇴』를 클릭하여 본인 확인 절차를 거치신 후 직접 회원탈퇴를 하시거나,
개인정보관리책임자로 서면, 전화 또는 Fax 등으로 연락하시면 지체 없이 귀하의 개인정보를 파기하는 등 필요한 조치를 하겠습니다.
- 국민건강보험법에 의해 건강보험심사평가원에 요양급여비용 청구를 위한 진료기록 제출
- 통계작성•학술연구를 위하여 필요한 경우 특정 개인을 알아볼 수 없는 형태로 가공하여 제공
- 법령에 정해진 절차와 방법에 따라 수사기관의 요구가 있는 경우 제출 등

6. 개인정보 자동 수집 장치의 설치/운영 및 그 거부에 관한 사항


엣지성형외과는(은) 귀하의 정보를 수시로 저장하고 찾아내는 '쿠키(cookie)'를 운용합니다.
쿠키란 엣지성형외과의 웹사이트를 운영하는데 이용되는 서버가 귀하의 브라우저에 보내는 아주 작은 텍스트 파일로서 귀하의 컴퓨터하드디스크에 저장됩니다.
엣지성형외과는(은) 다음과 같은 목적을 위해 쿠키를 사용합니다.
귀하는 쿠키 설치에 대한 선택권을 가지고 있습니다. 따라서, 귀하는 웹 브라우저에서 옵션을 설정함으로써 모든 쿠키를 허용하거나,
쿠키가 저장될 때마다 확인을 거치거나, 아니면 모든 쿠키의 저장을 거부할 수도 있습니다.
회원님께서 쿠키 설치를 거부하셨을 경우 일부 서비스 제공에 어려움이 있습니다.

7. 개인정보관리책임자


귀하의 개인정보를 보호하고 개인정보와 관련한 불만을 처리하기 위하여 엣지성형외과는(은) 아래와 같이 개인정보관리책임자를 두고 있습니다.

[개인정보 관리책임자]
이름 : 최동식
직위 : 원장
소속 : 엣성형외과의원
전화번호 : (053)-710-7107
메일 : edge0501@naver.com

귀하께서는 엣지성형외과의 서비스를 이용하시며 발생하는 모든 개인정보보호 관련 민원을 개인정보관리책임자로 신고하실 수 있습니다.
엣지성형외과는(은) 이용자들의 신고사항에 대해 신속하게 충분한 답변을 드릴 것입니다.
기타개인정보침해에 대한 신고나 상담이 필요하신 경우에는 아래 기관에 문의하시기 바랍니다.
개인분쟁조정위원회 (http://www.1336.or.kr / 1336)
정보보호마크인증위원회 (http://www.eprivacy.or.kr / (02) 580-0533~4)
대검찰청 사이버범죄수사단 (http://www.spo.go.kr / (02) 3480-3573)
경찰청 사이버테러대응센터 (http://www.ctrc.go.kr / (02) 392-0330)

■ 이메일 주소 무단 수집거부
본 사이트에 게시된 이메일 주소가 전자우편 수집 프로그램이나 그 밖의 기술적 장치를 이용하여 무단으로 수집되는 것을 거부하며, 이를 위반시 정보통신망법에 의해 형사처벌됨을 유념하시기 바랍니다.

■ 정보처리기기 운영,관리 방침


엣지성형외과(이하 '본원')은 영상정보처리기기 운영,관리 방침을 통해
본원에서 처리하는 영상정보가 어떠한 용도와 방식으로 이용, 관리되고 있는지 알려드립니다.

이 영상정보처리기기 운영,관리 방침의 순서는 다음과 같습니다.

1. 영상정보기기의 설치 근거 및 설치 목적
2. 설치 대수, 설치 위치 및 쵤영 범위
3. 관리책인자 및 접근권한자
4. 영상정보의 촬영시간, 보관기간, 보관장소 및 처리방법
5. 영상정보치리기기 설치 및 관리 등의 위탁에 관한 사항 (해당되는 경우만)
6. 개인영상정보의 확인 방법 및 장소에 관한 사항
7. 정보주체의 영상정보 열람 및 요구에 대한 조치
8. 영상정보의 안전성 확보조치
9. 개인정보 처리 방침 변경에 관한 사항

1. 영상정보기기의 설치 근거 및 설치 목적


본원은 개인정보보호법 제25조 제1항에 따라 다음과 같은 목적으로 영상정보처리기기를 설치운영 합니다.
- 시설안전 및 화제예방
- 고객의 안전을 위안 범죄예방

2. 설치 대수, 설치 위치 및 쵤영 범위


- 설치 대수 : 32대
- 설치 위치 및 촬영 범위 : 대기실, 복도, 수술실, 시술 등

3. 관리책인자 및 접근권한자


- 관리책임자 : 최동식[ 직위 : 원장, 소속 : 엣지성형외과, 연락처 : (053)-710-7107 ]
- 접근권한자 : 최동식[ 직위 : 원장, 소속 : 엣지성형외과, 연락처 : (053)-710-7107 ]

4. 영상정보의 촬영시간, 보관기간, 보관장소 및 처리방법


- 촬영시간 : 24시간
- 보과기간 : 쵤영일로 부터 30일
- 보관장소 : 원장연구실
- 처리방범
: 개인영상정보의 목적외 이용, 제3자가 제공, 파기, 열람 등 요구에 관한 사항을 기록, 관리하고 보관기간 완료시 복원이 불가능한 방법으로 영구 삭제
( ※ 출력물의 경우 파쇄 또는 소각 합니다. )

5. 영상정보치리기기 설치 및 관리 등의 위탁에 관한 사항 (해당되는 경우만)


본원은 아래와 같이 영상정보처리기기 설치 및 관리 등을 위탁하고 있으며, 관계 법령에 따라 위탁 계약시 개인정보가 안전하게 관리될 수 있도록 필요한 사항을 규정하고 있습니다.
- 수탁업체 : 에스원(세콤)
- 담당자 : 신용훈
- 연락처 : 1588-3112

6. 개인영상정보의 확인 방법 및 장보에 관한 사항


- 확인 방범 : 영상정보 관리책인자에게 미리 연락하고 본원을 방문하시면 확인 가능합니다.
- 확인 장소 : 원장연구실

7. 정보주체의 영상정보 열람 및 요구에 대한 조치


귀하는 개인영상정보에 관하여 열람 또는 존재확인, 삭제를 원하는 경우 언제든지 영상정보처리기기 운영자에게 요구하실 수 있습니다.
단, 귀하가 촬영된 개인영상정보 및 명백한 정보주체의 급박한 생명, 신체, 재산의 이익을 위하여 필요한 개인영상정보에 한정됩니다.
본원은 개인영상정보에 관하여 열람또는 존재확인, 삭제를 요구한 경우 지체없이 필요한 조치를 하겠습니다.

8. 영상정보의 안전성 확보조치


본원에서 처리하는 영상정보는 암호화 조치 등을 통하여 안전하게 관리되고 있습니다.
또한, 본원은 개인영상정보를 위한 관리적 대책으로서 개인정보에 대한 접근 권한을 차등부여 하고 있고, 개인영상정보의 위,변조 방지를 위하여 개인영상정보의 생성 일시, 열람 시 열람목적, 열람자, 열람 일시 등을 기록하여 관리하고 있습니다.
이외에도 개인영상정보의 안전한 물리적 보관을 위하여 잠금장치를 설치하고 있습니다.

9. 개인정보 처리 방침 변경에 관한 사항


이 영상정보처리기기 운영,관리 방침은 2020년 05월 01일에 제정되었으며 법력, 정책 또는 보완기술의 변경에 따라 내용의 추가, 삭제 및 수정이 있을 시에는 시행하기 7일전에 본원 홈페이지 또는 원내 게시를 통해 변경사유 및 내용 등을 공지하고록 하겠습니다.
- 공고 일자 : 2020년 05월 01일
- 시행 일자 : 2020년 05월 01일

■ 엣지성형외과 이용약관


이 약관은 엣지성형외과가 제공하는 서비스 이용조건 및 절차에 관한 사항과 기타 필요한 사항을 전기통신사업법 및 동법 시행령이 정하는 대로 준수하고 규정함을 목적으로 합니다.

제1조(목적 등)


① 엣지성형외과의원(http://edge01.co.kr) 이용자 약관(이하 "본 약관"이라 합니다)은 이용자가 엣지성형외과에서 제공하는 인터넷 관련 서비스(이하 "서비스"라 합니다)를 이용함에 있어 회원과 엣지성형외과의 권리·의무 및 책임 사항을 규정함을 목적으로 합니다.
② 회원이 되고자 하는 자가 엣지성형외과에서 정한 소정의 절차를 거쳐서 "등록하기" 단추를 누르면 본 약관에 동의하는 것으로 간주합니다. 본 약관에 정하는 이외의 회원과 엣지성형외과의 권리, 의무 및 책임 사항에 관해서는 전기통신사업법 기타 대한민국의 관련 법령과 상관습에 의합니다.

제2조(회원의 정의)


"회원"이란 엣지성형외과에 접속하여 본 약관에 따라 엣지성형외과 온라인 회원으로 가입하여 엣지성형외과가 제공하는 서비스를 받는 자를 말합니다.

제3조 (회원 가입)


① 회원이 되고자 하는 자는 엣지성형외과 정한 가입 양식에 따라 회원 정보를 기입하고 "등록하기" 단추를 누르는 방법으로 회원 가입을 신청합니다.
② 엣지성형외과는 제1항과 같이 회원으로 가입할 것을 신청한 자가 다음 각 호에 해당하지 않는 한 신청한 자를 회원으로 등록합니다.
1. 가입 신청자가 본 약관 제6조 제3항에 의하여 이전에 회원자격을 잃은 적이 있는 경우. 다만 제6조 제3항에 의한 회원자격 상실 후 3년이 경과한 자로서 엣지성형외과의 회원 재가입 승낙을 얻은 경우에는 예외로 합니다.
2. 등록 내용에 허위, 기재 누락, 오기가 있는 경우
3. 기타 회원으로 등록하는 것이 엣지성형외과의 기술상 현저히 지장이 있다고 판단되는 경우
③ 회원 가입 계약의 성립 시기는 엣지성형외과의 승낙이 가입신청자에게 도달한 시점으로 합니다.
④ 회원은 제1항의 회원정보 기재 내용에 변경이 발생한 경우, 즉시 변경사항을 정정하여 기재하여야 합니다.

제4조(서비스의 제공 및 변경)


① 엣지성형외과는 회원에게 아래와 같은 서비스를 제공합니다. 
1. 엣지성형외과 뉴스 메일 서비스 
2. 엣지성형외과 온라인 상담실 /예약 이용 서비스 
3. 엣지성형외과 온라인 회원을 위한 섹션 및 컨텐츠 서비스 
4. 기타 엣지성형외과가 타 업체와 제휴해서 제공하는 각종 서비스 
② 엣지성형외과은 그 변경될 서비스의 내용 및 제공 일자를 제7조 제2항에서 정한 방법으로 회원에게 통지하고, 제1항에 정한 서비스를 변경하여 제공할 수 있습니다.

제5조(서비스의 중단)


① 엣지성형외과은 컴퓨터 등 정보통신설비의 보수점검·교체 및 고장, 통신의 두절 등의 사유가 발생한 경우에는 서비스의 제공을 일시적으로 중단할 수 있고, 새로운 서비스로의 교체 기타 엣지성형외과가 적절하다고 판단하는 사유에 기하여 현재 제공되는 서비스를 완전히 중단할 수 있습니다.
② 제1항에 의한 서비스 중단의 경우에는 엣지성형외과은 제7조 제2항에서 정한 방법으로 회원에게 통지합니다. 다만, 엣지성형외과가 통제할 수 없는 사유로 인한 서비스의 중단(시스템 관리자의 고의, 과실이 없는 디스크 장애, 시스템 다운 등)으로 인하여 사전 통지가 불가능한 경우에는 그러하지 아니합니다.

제6조(회원 탈퇴 및 자격 상실 등)


① 회원은 엣지성형외과에 언제든지 자신의 회원 등록을 말소해 줄 것(회원 탈퇴)을 요청할 수 있으며, 엣지성형외과은 위 요청을 받은 즉시 해당 회원의 회원 등록 말소를 위한 절차를 밟습니다.
② 회원이 다음 각 호의 사유에 해당하는 경우, 엣지성형외과은 회원의 회원자격을 적절한 방법으로 제한 및 정지, 상실시킬 수 있습니다.
1. 가입 신청 시에 허위내용을 등록한 경우 
2. 다른 사람의 엣지성형외과 사이트 이용을 방해하거나 그 정보를 도용하는 등 전자거래 질서를 위협하는 경우 
3. 엣지성형외과을 이용하여 법령과 본 약관이 금지하거나 공서양속에 반하는 행위를 하는 경우 

제7조(회원에 대한 통지)


① 엣지성형외과가 특정 회원에 대해 통지를 하는 경우 엣지성형외과에 등록한 메일주소로 할 수 있습니다.
② 엣지성형외과가 불특정 다수 회원에 대해 통지를 하는 경우 1주일 이상 엣지성형외과 게시판에 게시함으로써 개별 통지에 갈음할 수 있습니다.

제8조(회원의 개인정보보호)


엣지성형외과은 관련 법령이 정하는 바에 따라서 회원 등록정보를 포함한 회원의 개인정보를 보호하기 위하여 노력합니다. 회원의 개인정보보호에 관해서는 관련 법령 및 엣지성형외과가 정하는 "개인정보보호 정책"에 정한 바에 의합니다.

제9조(엣지성형외과의 의무)


① 엣지성형외과은 법령과 본 약관이 금지하거나 공서양속에 반하는 행위를 하지 않으며 본 약관이 정하는 바에 따라 지속적이고, 안정적으로 서비스를 제공하기 위해서 노력합니다.
② 엣지성형외과은 회원이 안전하게 인터넷 서비스를 이용할 수 있도록 회원의 개인정보(신용정보포함)보호를 위한 보안 시스템을 구축합니다.
③ 엣지성형외과은 회원이 원하지 않는 영리 목적의 광고성 전자우편을 발송하지 않습니다.

제10조(회원의 ID 및 비밀번호에 대한 의무)


① 엣지성형외과가 관계 법령, "개인정보보호 정책"에 의해서 그 책임을 지는 경우를 제외하고, 자신의 ID와 비밀번호에 관한 관리책임은 각 회원에게 있습니다.
② 회원은 자신의 ID 및 비밀번호를 제3자에게 이용하게 해서는 안 됩니다.
③ 회원은 자신의 ID 및 비밀번호를 도난당하거나 제3자가 사용하고 있음을 인지한 경우에는 바로 엣지성형외과에 통보하고 엣지성형외과의 안내가 있는 경우에는 그에 따라야 합니다.

제11조(회원의 의무)


① 회원은 다음 각 호의 행위를 하여서는 안 됩니다.
1. 회원 가입 신청 또는 변경 시 허위내용을 등록하는 행위 
2. 엣지성형외과에 게시된 정보를 변경하는 행위 
3. 엣지성형외과 기타 제3자의 인격권 또는 지적재산권을 침해하거나 업무를 방해하는 행위
  4. 다른 회원의 ID를 도용하는 행위 
5. 정크메일(junk mail), 스팸메일(spam mail), 행운의 편지(chain letters), 피라미드 조직에 가입할 것을 권유하는 메일, 외설 또는 폭력적인 메시지·화상·음성 등이 담긴 메일을 보내거나 기타 공서양속에 반하는 정보를 공개 또는 게시하는 행위
6. 관련 법령에 의하여 그 전송 또는 게시가 금지되는 정보(컴퓨터 프로그램 등)의 전송 또는 게시하는 행위 
7. 엣지성형외과의 직원이나 엣지성형외과 인터넷 서비스의 관리자를 가장하거나 사칭하여 또는 타인의 명의를 도용하여 글을 게시하거나 메일을 발송하는 행위 
8. 컴퓨터 소프트웨어, 하드웨어, 전기통신 장비의 정상적인 가동을 방해, 파괴할 목적으로 고안된 소프트웨어 바이러스, 기타 다른 컴퓨터 코드, 파일, 프로그램을 포함하고 있는 자료를 게시하거나 전자우편으로 발송하는 행위 
9. 스토킹(stalking) 등 다른 회원을 괴롭히는 행위 
10. 다른 회원에 대한 개인정보를 동의 없이 수집, 저장, 공개하는 행위 
11. 불특정 다수의 자를 대상으로 하여 광고 또는 선전을 게시하거나 스팸메일을 전송하는 등의 방법으로 엣지성형외과의 서비스를 이용하여 영리 목적의 활동을 하는 행위 
12. 엣지성형외과가 제공하는 서비스에 정한 약관 기타 서비스 이용에 관한 규정을 위반하는 행위
② 제1항에 해당하는 행위를 한 회원이 있을 경우 엣지성형외과은 본 약관 제6조 제2, 3항에서 정한 바에 따라 회원의 회원자격을 적절한 방법으로 제한 및 정지, 상실시킬 수 있습니다.
③ 회원은 그 귀책 사유로 인하여 엣지성형외과 또는 다른 회원이 입은 손해를 배상할 책임이 있습니다.

제 12조 (공개 게시물의 삭제)


회원의 공개 게시물의 내용이 다음 각 호에 해당하는 경우 엣지성형외과은 회원에게 사전 통지 없이 해당 공개 게시물을 삭제할 수 있고, 해당 회원의 회원자격을 제한, 정지 또는 상실시킬 수 있습니다.
1. 다른 회원 또는 제3자를 비방하거나 중상모략으로 명예를 손상시키는 내용 
2. 공서양속에 위반되는 내용의 정보, 문장, 도형 등을 유포하는 내용 
3. 범죄행위와 관련이 있다고 판단되는 내용 
4. 다른 회원 또는 제3자의 저작권 등 기타 권리를 침해하는 내용 
5. 광고성 또는 상업적 목적이 두드러진 경우 
6. 기타 관계 법령에 위배된다고 판단되는 내용 

13조(저작권의 귀속 및 이용 제한)


① 엣지성형외과가 작성한 저작물에 대한 저작권 기타 지적재산권은 엣지성형외과에 귀속합니다.
② 회원은 엣지성형외과을 이용함으로써 얻은 정보를 엣지성형외과의 사전승낙 없이 복제, 전송, 출판, 배포, 방송 기타 방법에 의하여 영리 목적으로 이용하거나 제3자에게 이용하게 하여서는 안 됩니다.

제14조(상담에 관한 규정)


① 서비스에서 진행된 상담의 내용은 개인 신상정보를 삭제한 다음 아래와 같은 목적으로 사용할 수 있습니다.
 1) 학술 활동
 2) 진료 활동
 3) 의료서비스
 4) 인쇄물, CD-ROM 등의 저작 활동
 5) FAQ, 추천 상담 등의 서비스 내용의 일부 

제15조(약관의 개정)


① 엣지성형외과은 약관의 규제 등에 관한 법률, 전자거래기본법, 전자서명법, 정보통신망 이용촉진 등에 관한 법률 등 관련법을 위배하지 않는 범위에서 본 약관을 개정할 수 있습니다.
② 엣지성형외과가 본 약관을 개정할 경우에는 적용 일자 및 개정 사유를 명시하여 현행약관과 함께 초기화면에 그 적용 일자 7일 이전부터 적용 일자 전날까지 공지합니다.
③ 엣지성형외과가 본 약관을 개정할 때는 그 개정약관은 개정된 내용이 관계 법령에 위배되지 않는 한 개정 이전에 회원으로 가입한 회원에게도 적용됩니다.
④ 변경된 약관에 이의가 있는 회원은 제6조 제1항에 따라 탈퇴할 수 있습니다.

제16조(재판관할)


엣지성형외과와 회원간에 발생한 서비스 이용에 관한 분쟁으로 인한 소는 민사소송법상의 관할을 가지는 대한민국의 법원에 제기합니다.

부 칙 
이 약관은 2011년 06월 28일을 시작으로 새로운 약관이 나오기 전까지 사용한다.