
| โทร | +82 053-710-7107 | |
| ที่อยู่ | ชั้น 4 ดงซองโร 1 ถนน 28 ,จุงกู ,แทกู | |
| ที่อยูู่่โดยละเอียด | ชั้น 4 บงซันดง 35-1 ,จุงกู , แทกู | |
| เวลาทำการ | am 09:30 - pm 9:00 วันหยุดราชการ และวันหยุดนักขัตฤกษ์ |
|
| วันเสาร์ | am 09:30 - pm 5:00 |
ทำให้เกิดการผลิตคอลลาเจนในผิวหนัง
ด้วยสกินบูสเตอร์ระดับพรีเมี่ยม
ช่วยปรับปรุงสภาพผิว
ประมาณ 30 นาที
ไม่มี
ยาชาชนิดทา
ไม่มี
ภายในวันรักษาได้เลย
เห็นผลทันที
CaHA เป็นอนุภาคที่มีโครงสร้างทรงกลมเรียบที่มีขนาดเท่ากัน
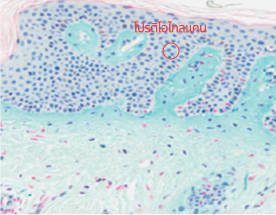
ทำหน้าที่โดยตรงกับไฟโบรบาสต์ ( fibroblasts ) ในชั้นหนังแท้
เพื่อสร้างองค์ประกอบสำคัญ 5 อย่าง คือ สารปรับปรุงสารเคลือบเซลล์ในผิวหนังแท้
ทำหน้าที่เป็นกระเป๋าเดินทางของ CaHA ภายในผิวหนัง
จะถูกเก็บรักษาไว้เป็นเวลาหลายสัปดาห์
และย่อยสลายปล่อยออกมาเองตามธรรมชาติ
โดยสัมผัสโดยตรงกับเซลล์เส้นใยเพื่อกระตุ้นส่วนประกอบต่าง ๆ และสร้างเอลาสตินเพื่อช่วยรักษาาความยืดหยุ่นและความหนาของผิว
ก่อนฉีด
หลังฉีด 4 เดือน
หลังฉีด 7 เดือน
โปรติโอไกลแคน ( proteoglycan ) เพื่อช่วยเพิ่มความแข็งแรงและเพิ่มความชุ่มชื้น ปรับปรุงโครงสร้างของผิวหนัง
ก่อนฉีด
หลังฉีด
สร้างหลอดเลือดใหม่ ปรับปรุงการไหลเวียนของเลือด และปรับการบำรุงผิว
ปรับปรุงชั้นหนังแท้ของผิวหนังที่บางลงเนื่องจากความชรา การทำหัตถการผิวบ่อยๆ และการกระตุ้นจากภายนอก
ก่อนฉีด
หลังฉีด 4 เดือน
(ชั้นหนังแท้หนาขึ้น 12%)
หลังฉีด 7 เดือน
(ชั้นหนังแท้หนาขึ้น 27% )
การสร้างและฟื้นฟู ECM ( Extracellular Matrix ) โดยทำให้เส้นใยเซลล์สามารถทำงานได้ดีในรูปแบบอนุภาคที่มี ขนาดคงที่และพื้นผิวเรียบ
( ถ้าอนุภาคแหลมและไม่สม่ำเสมอ อาจเกิดการอักเสบ )
เรเดียส
(25~45um/Microsphere)
ผลิตภัณฑ์ A
(30~60um/Crystal)
ผลิตภัณฑ์ B
(20~80um/ไม่สม่ำเสมอ)
อนุภาค CaHA ที่ยังไม่เสียหาย
อนุภาค CaHA ที่ถูกย่อยสลายบางส่วน
ถูกย่อยสลายเป็นแคลเซียมไอออนและฟอสเฟตอย่างช้า ๆ และดูดซึมผ่านกระบวนการเมแทบอลิซึมปกติตามกาลเวลา
กระบวนการคงสภาพทรงกลม แสดงผลส่งเสริมการสร้างคอลลาเจนอย่างสม่ำเสมอโดยไม่ระคายเคืองต่อผิว
ผิวที่สวยชุ่มฉ่ำและเปล่งประกาย จาการสร้างคอลลาเจน
ช่วยลดเลือน ตั้งแต่ริ้วรอยปานกลางจนถึงริ้วรอยลึก
ความหนืดและความยืดหยุ่นสูง ทำให้พื้นที่การรักษาไม่แพร่กระจายไปบริเวณอื่น
ประสิทธิภาพ ในการทำให้จมูกและกรอบหน้าดูแข็งแรง
การสัมผัสที่นุ่มนวล และรักษารูปทรงที่เป็นธรรมชาติ
ผลลัพธ์อยู่ได้นาน 1-2 ปี หลังการฉีด
หลังจากการฉีดจะค่อยๆย่อยสลายในร่างกาย และดูดซึมโดยธรรมชาติ
เป็นสกินบูสเตอร์ที่ได้รับการอนุมัต จาก FDA, FDA ของกระทรวงความมั่นคงทางอาหารและยา, FDA ของสหรัฐอเมริกา, European CE, ถูกใช้มากกว่า 15 ล้านกล่องในตลาดความงามเป็นเวลา 21 ปี และมีรายงานทางคลินิกมากกว่า 200 ฉบับ
ขึ้นอยู่กับอายุและความยืดหยุ่นของผิวหนัง แนะนำ 1~2 ไซริงค์
ขึ้นอยู่กับความแตกต่างระหว่างบุคคล เช่น ตำแหน่งการรักษา , ปริมาณยา การฉีด 1 ครั้ง อยู่ได้นานประมาณ 1-2 ปี ถ้าต้องการผลลัพธ์ที่ดีกว่านี้ แนะนำให้ทำการฉีดซ้ำ 2-3 ครั้ง
ผู้ที่กังวลเกี่ยวกับความปลอดภัยและผลข้างเคียง
ผู้ที่ต้องการปรับปรุงคุณภาพผิวตามธรรมชาติ
ผู้ที่ไม่พอใจกับประสิทธิภาพของคอลลาเจนบูสเตอร์ & สกินบูสเตอร์ก่อนหน้านี้
ผู้ที่ต้องการผลลัพท์อยู่ได้เป็นเวลานาน
ผู้ที่ผิวแพ้ง่ายต่อรอยเข็ม
ผู้ที่ต้องการปรับปรุงโครงสร้างผิวที่ทรุดโทรม


| โทร | +82 053-710-7107 | |
| ที่อยู่ | ชั้น 4 ดงซองโร 1 ถนน 28 ,จุงกู ,แทกู | |
| ที่อยูู่่โดยละเอียด | ชั้น 4 บงซันดง 35-1 ,จุงกู , แทกู | |
| เวลาทำการ | am 09:30 - pm 9:00 วันหยุดราชการ และวันหยุดนักขัตฤกษ์ |
|
| วันเสาร์ | am 09:30 - pm 5:00 |