엣지성형외과

본문 바로가기

엣지성형외과

본문 바로가기
The edgy
Procedure for me is

회원로그인

Skin Care

RADIESSE

RADIESSE

It essentially produces collagen in the skin
It's a premium skin booster
Improve skin conditions

radiesse model img

Surgery Information

What is RADIESSE?

It is a collagen booster made up of Calcium Hydroxylapatite. It is bio-friendly and naturally breaks down in the body,
which is approved by the US FDA, the European CE, and the Korean KFDA,
Calcium mineral ingredients that are more viscous and elastic than other products not only create a powerful three-dimensional effect,
but also stimulate collagen production to increase skin elasticity.

Surgery Product

RADIESSE

radiesse_img01

RADIESSE component

RADIESSE major action

01. Regenerative collagen and elastin

It directly contacts fibroblasts to activate the ingredients and produces elastin to help maintain skin elasticity and thickness.

Collagen regeneration
  • radiesse_img02
  • radiesse_img03
  • radiesse_img04
Elastine Regeneration
  • radiesse_img05

    Before the procedure

  • radiesse_img06

    4 months later

  • radiesse_img07

    7 months later

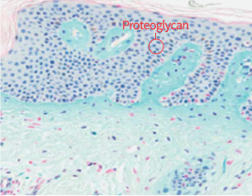
02. Proteoglycan provided

Proteoglycan is provided to aid in firmness and hydration and improve skin structure.

  • radiesse_img08

    Before the procedure

  • radiesse_img09

    After the procedure

03. Creation of a new blood vessel

It improves blood flow and nourishes the skin by creating new blood vessels.

CD34 Average (Nevascular Indicator)
  • radiesse_img10
04. Skin dermal layer thickness change

Improve the dermal layer of skin thinned due to aging, frequent procedures, and external irritation.

  • radiesse_img11

    Before the procedure

  • radiesse_img12

    4 months later
    (12% increase in dermal layer thickness)

  • radiesse_img13

    7 months later
    (27% increase in dermal layer thickness)

RADIESSE Particle Characteristics and Decomposition

Optimized for the generation of regenerative substances in ECM (extracellular matrix) by allowing fibroblasts to function well
in the form of particles with a constant size and smooth surface
(Inflammatory reactions may occur if particles are pointed and irregular)

  • radiesse_img14

    RADIESSE
    (25~45um/Microsphere)

  • radiesse_img15

    Product A
    (30~60um/Crystal)

  • radiesse_img16png

    Product B
    (20~80um/irregular)

The decomposition process
  • radiesse_img17

    Undamaged CaHA particulates

  • radiesse_img18

    Partially decomposed CaHA particulates

Slowly decomposed and absorbed into calcium ions and phosphate ions through normal metabolic processes over time.
In the process, it maintains its spherical shape, showing a stable collagen regeneration promotion effect without irritation to the skin

Surgery Effect

RADIESSE Effect

  • 01
    Promoting collagen production

    It promotes collagen production and moisturizes and glows your skin

  • 02
    Wrinkle improvement

    Effective from medium to deep wrinkles

  • 03
    High viscosity and elasticity

    High viscosity and elasticity keep the treatment area non-spreading

  • 04
    Powerful three-dimensional effect

    It's effective for making the nose and chin look strong

  • 05
    Naturalness

    Maintaining a soft touch and natural shape

  • 06
    Long-lasting persistence

    Effect lasting 1 to 2 years after treatment

  • 07
    Decomposition of the body

    After the procedure, it gradually dissolves in the body and absorbs natural

※There may be differences in the effectiveness of the procedure depending on the individual. ※

Q&A

RADIESSE Q&A

  • Q
    Is RADIESSE safe?
    A

    It is a skin booster approved by the Korean Food and Drug Administration (KFDA), U.S. FDA, and European CE, and has been used in the beauty market for 21 years and has more than 200 clinical papers.

  • Q
    What is the recommended dose for one time?
    A

    It depends on the age group and the elasticity of the skin I'd like to recommend a magazine or two.

  • Q
    How long does the effect last?
    A

    There are individual differences such as treatment site and dosage
    It lasts about 1 to 2 years per treatment. If you want a greater effect, I recommend repeating the procedure 2-3 times.

Surgery Region

RADIESSE treatment site

radiesse model img radiesse region model img

Check Point

RADIESSE treatment target

※This image is a model cut. The treatment effect may vary depending on the individual. ※

contact

contact

TEL 053-710-7107
Address 4th floor,28, Dongseong-ro 1-gil, Jung-gu, Daegu
weekday
treatment

(Night time)

am 09:30 - pm 9:00

holiday break time information

Saturday am 09:30 - pm 5:00

엣지성형외과의원

instagram
Address : 4th floor,28, Dongseong-ro 1-gil, Jung-gu, Daegu    Edge plastic surgery
CEO : Choi Dong Sik   TEL : 053)710-7107ㅤ   FAX : 053-710-8107
Copyright © 2022 EDGE, All right reserved

■ Privacy Policy of EDGE Plastic Surgery

EDGE Plastic Surgery (http://edge01.co.kr) ) places great importance on your personal information protection and complies with the Personal Information Protection Act.

EDGE Plastic Surgery uses the personal information you provide through the personal information processing policy for what purpose and method
I would like to inform you of what measures are being taken to protect your personal information.
The order of this privacy policy is as follows.

1. Items and methods of collecting personal information
2. Purpose of collection and use of personal information
3. Period of retention and use of personal information
4. Procedures and methods for destruction of personal information
5. withdrawal of consent / method of withdrawal of membership
6. Matters concerning the installation/operation of automatic personal information collection devices and their refusal
7. Personal Information Management Officer

1. Items and methods of collecting personal information

EDGE Plastic Surgery collects only the minimum amount of personal information necessary to use the service when registering as a member.
[Collected items when signing up for membership on the website]
- Mandatory items: Name, ID, password, date of birth, contact number (telephone number, mobile phone number), email, gender
- The following information can be automatically generated and collected during the service use process or service provision process.
: Service history, access logs, cookies, access IP information
[How to collect personal information]
- Collect your personal information in the following ways.
Home page, written form, fax, phone, consultation board, e-mail

2. Purpose of collection and use of personal information

EDGE Plastic Surgery utilizes the collected personal information for the following purposes.
- The performance of the contract on the provision of the service and the settlement of fees for the provision of the service, and the provision of the contents
- Membership management
Confirmation of identity, individual identification, confirmation of intention to join, prevention of illegal use and unauthorized use of rogue members, age verification, complaint handling, etc., and delivery of notices
. Use for marketing and advertising
Distribution of advertising information such as events, provision of services and advertising according to demographic characteristics, identification of access frequency, or statistics on the use of services by members

3. Period of retention and use of personal information

In principle, after the purpose of collecting and using personal information is achieved, the information is destroyed without delay.
However, if it is necessary to preserve it according to the provisions of the relevant laws and regulations, the hospital will keep the member information for a certain period of time as set by the relevant laws and regulations as follows.
Retention items: Name, ID, password, date of birth, contact (telephone number, mobile phone number), email, gender
Evidence for Preservation: Hospital Internal Policy
Preservation period: Until withdrawal of membership

However, even if the purpose of collection or provision is achieved, your personal information can be retained if it is necessary to preserve it in accordance with the provisions of laws such as the Commercial Act.
Record of consumer complaints or disputes: 3 years (Act on Consumer Protection in Electronic Commerce, etc.)
- Records on collection/processing and use of credit information: 3 years (Act on the Use and Protection of Credit Information)
- Record of identification: 6 months (Act on Promotion of Information and Communication Network Utilization and Information Protection, etc.)
- Record of visit: 3 months (Communication Secret Protection Act)

4. Procedures and methods for destruction of personal information

The Edge Plastic Surgery Department will destroy it immediately after the purpose of collecting and using personal information is achieved. The procedure and method of destruction are as follows.
[Breaking process]
Information entered by users for membership registration, etc., is immediately destroyed by the destruction method after the purpose is achieved.
[How to dig]
Personal information stored in the form of electronic files is deleted using a technical method that cannot be played back.
Personal information printed on paper is shredded or incinerated with a grinder to destroy.

5. Withdrawal of consent / method of withdrawal of membership

You may withdraw your consent to the collection, use, and provision of personal information at any time when signing up for membership.
For membership withdrawal, click on the "Membership withdrawal" on the website of Edge Plastic Surgery, go through the identity verification process, and leave the membership yourself,
If you contact us in writing, by phone, or by fax as the personal information management manager, we will take necessary measures, such as destroying your personal information without delay.
- Submission of medical records for claiming medical care benefits to the Health Insurance Review and Assessment Service under the National Health Insurance Act
- If necessary for statistics preparation and academic research, processing and providing a specific individual in an unrecognizable form
- Submission, etc. if there is a request from an investigative agency in accordance with the procedures and methods prescribed in the statute

6. Matters concerning the installation/operation of automatic personal information collection devices and their refusal

EDGE Plastic Surgery operates a 'cookie' that stores and finds your information from time to time.
A cookie is a tiny text file sent to your browser by a server used to run Edge Plastic Surgery's well site, which is stored on your computer's hard disk.
EDGE Plastic Surgery uses cookies for the following purposes.
You have the option to install cookies, so you can either allow all cookies by setting options in your web browser, or,
Each time a cookie is saved, it can be checked, or you can refuse to save all cookies.
If you refuse to install cookies, it is difficult to provide some services.

7. Personal Information Management Officer

In order to protect your personal information and handle complaints related to your personal information, Edge Plastic Surgery has a personal information management manager as follows.

[Personal Information Management Manager]
Name: Dong sik Choi
Position: Director
Affiliated: EDGE Plastic Surgery Clinic
Phone number: (053)-710-7107
E-Mail : edge0501@naver.com

You can report all personal information protection-related complaints that occur while using the services of Edge Plastic Surgery as the person in charge of personal information management.
EDGE Plastic Surgery will quickly provide sufficient answers to users' reports.
If you need to report or consult other personal information infringement, please contact the agency below.
Personal Dispute Mediation Committee (http://www.1336.or.kr / 1336)
Information Protection Mark Certification Committee (http://www.eprivacy.or.kr / (02) 580-0533~4)
Cybercrime investigation team of Supreme Prosecutors' Office (http://www.spo.go.kr/ (02) 3480-3573)
National Police Agency Cyber Terrorism Response Center (http://www.ctrc.go.kr/ (02) 392-0330)

■Reject unauthorized collection of e-mail addresses
Please note that email addresses posted on this site will not be collected without permission using e-mail collection programs or other technical devices, and violations will be criminally punished under the Information and Communication Network Act.

■ Operation and management policy of information processing equipment


EDGE plastic surgery surgery (hereinafter referred to as the "main office") is operated and managed by the image information processing equipment
We inform you of the purpose and method of using and managing the image information processed by this office.

The order of operation and management of this image information processing device is as follows.

1. Evidence and Purpose of Installation of Image Information Devices
2. Number of installations, installation location, and shooting range
3. Management Policy Factors and Access Authorities
4. Shooting time, storage period, storage place, and processing method of image information
5. Matters concerning the entrustment of the installation and management of video information equipment, etc. (if applicable only)
6. Matters concerning the method and place of checking personal image information
7. Measures for viewing and requesting image information by data subjects
8. Measures to ensure the safety of video information
9. Matters concerning the change of personal information processing policy

1. Evidence and Purpose of Installation of Image Information Devices


In accordance with Article 25 (1) of the Personal Information Protection Act, the headquarters installs and operates image information processing devices for the following purposes.
- Facility Safety and Prevention of Topic
- Help Your Customers Safe Crime Prevention

2. Number of installations, installation location, and shooting range


- Number of installations: 32 units
- Installation location and shooting range: waiting room, corridor, operating room, procedure, etc

3. Management Policy Factors and Access Authorities


- Manager of Management: Choi Dong-sik [Position: Director, Department: Edge Plastic Surgery, Contact: (053)-710-7107]
- Person with access: Choi Dong-sik [Position: Director, Department: Edge Plastic Surgery, Contact: (053)-710-7107]

4. Shooting time, storage period, storage place, and processing method of image information


- Shooting time: 24 hours
- Period of study: 30 days from the date of shooting
- Storage place: Director's lab
- a disposing agent
: Matters concerning the use of personal image information other than the purpose, provision, destruction, access, etc. by a third party, shall be recorded and managed, and shall be permanently deleted in a way that cannot be restored upon completion of the storage period
( ※ For printed materials, they are crushed or incinerated.)

5. Matters concerning the entrustment of the installation and management of video information equipment, etc. (if applicable only)


The headquarters entrusts the installation and management of video information processing devices as follows, and stipulates necessary matters so that personal information can be safely managed in accordance with the relevant laws and regulations
Here we go.
Trustee: S1 (Secom)
- Person in charge: Shin Yong-hoon
- Contact: 1588-3112

6. Matters concerning the method of checking personal image information and the bookkeeping


- Check crime prevention: You can check it by contacting the video information management officer in advance and visiting the main office.
- Place of confirmation: Director's lab

7. Measures for viewing and requesting image information by data subjects


You can always request the operator of the video information processing device if you want to read, confirm the existence, or delete personal video information.
However, it is limited to the personal image information you photographed and the personal image information necessary for the urgent benefit of life, body, and property of the obvious information subject.
We will take necessary measures without delay if we request to view, confirm the existence, or delete personal image information.

8. Measures to ensure the safety of video information


The video information processed by the main office is safely managed through encryption measures.
In addition, the main office differentially grants access to personal information as an administrative measure for personal image information, and to prevent forgery and alteration of personal image information, the date and time of creation of personal image information,
When reading, we record and manage the purpose of reading, readers, and the date and time of reading. In addition, locks are installed for safe physical storage of personal image information.

9. Matters concerning the change of personal information processing policy


The operation and management policy of this image information processing device was enacted on May 1, 2020 and will be implemented on the 7th day when the contents are added, deleted, or modified due to changes in legal power, policy, or supplementary technology
We will notify you of the reason and contents of the change through the website or on-site post.

- Announcement Date: May 1, 2020
- Effective date: May 1, 2020

■ Terms and Conditions for EDGE Plastic Surgery

These terms and conditions are intended to comply with and regulate the terms and conditions of service provided by EDGE Plastic Surgery as prescribed by the Telecommunications Business Act and the Enforcement Decree of the Act.

Article 1 (Purpose, etc.)

① The terms and conditions of use of EDGE Plastic Surgery (http://edge01.co.kr ) (hereinafter referred to as the "Terms and Conditions") are intended to define the rights, obligations and responsibilities of members and EDGE Plastic Surgery in using the Internet-related services provided by EDGE Plastic Surgery (hereinafter referred to as the "Service").
② If a person who intends to become a member presses the "Registration" button after going through the prescribed procedures set by EDGE Plastic Surgery, it shall be deemed to agree to these terms and conditions. The rights, obligations and responsibilities of members and Edge Plastic Surgery other than those prescribed by these Terms and Conditions shall be governed by the Telecommunications Business Act and other relevant laws and regulations of the Republic of Korea.

Article 2 (Definition of Members)

The term "member" means a person who accesses EDGE Plastic Surgery to join EDGE Plastic Surgery as an online member of EDGE Plastic Surgery and receives services provided by Edge Plastic Surgery pursuant to these terms and conditions.


Article 3 (Member Register)

① Those who want to become members will fill out their membership information according to the registration form set by EDGE Plastic Surgery and apply for membership by pressing the 'sign up' button.
② EDGE Plastic Surgery registers the applicant as a member unless the person who applied for membership falls under any of the following subparagraphs, as shown in paragraph (1).
1. Where an applicant for membership has previously lost his/her membership pursuant to Article 6 (3) of this Convention: Provided, That this shall not apply where three years have passed since the loss of membership under Article 6 (3) and consent has been obtained to rejoin EDGE Plastic Surgery.
2. If there is a false, omission of entry, or error in the registration details
3. Easy Plastic Surgery Membership Registration Fractures With Technical Challenges
③ The time when the membership contract is established is when the consent of the edge plastic surgery clinic reaches the subscriber.
④ If any change occurs in the contents of the member information under paragraph (1), the member shall immediately correct the change and prepare it.

Article 4 (Provisions and Changes of Services)

① EDGE Plastic Surgery provides members with the following services.
1.  EDGE Plastic Surgery News Mail Service
2.  EDGE Plastic Surgery Online Counseling Room/Reservation Service
3. Section and Content Services for Edge Plastic Surgery Online Members
4. Various services provided by Edge Plastic Surgery in partnership with other companies
②  EDGE Plastic Surgery may notify members of the details and date of provision of the service to be changed in the manner prescribed in Article 7 (2), and may change and provide the service prescribed in paragraph (1).

Article 5 (Suspension of Service)

①  EDGE Plastic Surgery can temporarily suspend the provision of services in the event of maintenance, replacement, and failure of information and communication facilities such as computers, and completely suspend the services currently provided due to replacement of new services or other reasons deemed appropriate by  EDGE Plastic Surgery.
② In case of service interruption under paragraph (1),  EDGE Plastic Surgery shall notify the member in the manner prescribed in Article 7 (2). Provided, That this shall not apply where prior notification is impossible due to service interruption due to reasons beyond the control of  EDGE Plastic Surgery (intentional, negligent disk failure, system down, etc.).

Article 6 (Withdrawal from membership and loss of qualification, etc.)

① Members may request EDGE Plastic Surgery to cancel their membership registration (withdrawal of membership) at any time, and upon receipt of the above request, EDGE Plastic Surgery will proceed with the procedure to cancel their membership registration.
② If a member falls under any of the following reasons, EDGE Plastic Surgery may restrict, suspend, or lose a member's membership in an appropriate manner.
1. When false information is registered at the time of application for membership
2. In the case of threatening the electronic transaction order, such as obstructing the use of the EDGE plastic surgery site or stealing the information
3. Where the Act and the Terms and Conditions prohibit or act contrary to public order and morals by using EDGE molding surgery

Article 7 (Notice to Members)

① If EDGE Plastic Surgery gives notice to a specific member, you can use the e-mail address registered with Edge Plastic Surgery.
② If EDGE Plastic Surgery gives notice to an unspecified number of members, it can be replaced by posting it on the Edge Plastic Surgery Bulletin for more than a week.

Article 8 (Protection of Personal Information of Members)

EDGE Plastic Surgery shall endeavor to protect the personal information of members, including membership registration information, as prescribed by relevant Acts and subordinate statutes. Regarding the protection of members' personal information, relevant statutes and
It is in accordance with the "Personal Information Protection Policy" set by EDGE Plastic Surgery.

Article 9 (Duty of EDGE Plastic Surgery)

① EDGE Plastic Surgery shall endeavor to provide services continuously and stably as prescribed by the Act and the Terms and Conditions do not public order and good morals.
② EDGE Plastic Surgery establishes a security system to protect members' personal information (including credit information) so that members can safely use Internet services.
③ EDGE Plastic Surgery does not send commercial e-mails for commercial purposes that members do not want.
Article 10 (Obligation to ID and password of members)

① Each member is responsible for the management of his or her ID and password, except for cases where EDGE Plastic Surgery is responsible for it under the relevant laws and regulations, "Personal Information Protection Policy".
② Members should not allow third parties to use their ID and password.
③ Members should notify EDGE Plastic Surgery immediately if their ID and password are stolen or recognized by a third party and follow the guidance of EDGE Plastic Surgery.

Article 11 (Duties of Members)

① A member shall not engage in any of the following acts.
1. The act of registering false information when applying for membership or changing membership
2. The act of changing the information posted in Edge Plastic Surgery
3. EDGE plastic surgery and other acts that infringe on personal rights or intellectual property rights of third parties or interfere with their work
4. The act of stealing another member's ID
5. Junk mail, spam mail, good luck letters, emails encouraging you to join the pyramid organization, obscene or violent messages, videos, and audio
the act of sending mail or disclosing or posting other information contrary to public order and morals
6. The act of transmitting or posting information (computer program, etc.) prohibited from being transmitted or posted under relevant laws and regulations
7. Posting articles or sending e-mails pretending or impersonating an employee of EDGE Plastic Surgery or an Internet service manager of Edge Plastic Surgery, or stealing the name of another person
8. Including computer software, hardware, software viruses designed to disrupt or destroy the normal operation of telecommunications equipment, and other computer codes, files, and programs
the act of posting or e-mailing data
9. Acts of bullying other members, such as stalking
10. The act of collecting, storing, and disclosing personal information about other members without consent
11. Activities for profit-making activities using the services of Edge Plastic Surgery by posting advertisements or propaganda to a large number of unspecified persons, sending spam mails, etc
12. Acts in violation of the terms and conditions set forth in the services provided by Edge Plastic Surgery and other regulations on the use of services
② If there is a member who has committed an act falling under paragraph (1), Edge Plastic Surgery may restrict, suspend, or lose the membership in an appropriate manner as prescribed in Article 6 (2) and (3) of this Agreement.
③ 3 Members shall be liable for damages incurred by Edge Plastic Surgery or other Members due to the reasons attributable to them.

Article 12 (Deletion of Public Posts)

If the contents of a member's public post fall under any of the following subparagraphs, EDGE Plastic Surgery may delete the public post without prior notice to the member and may restrict, suspend or lose the member's membership.
1. Contents that slander other members or third parties or damage their reputation through slander
2. Contents of dissemination of information, sentences, figures, etc. that violate public order and morals
3. Content deemed to be related to a criminal act
4. Contents that infringe on other rights, such as copyrights of other members or third parties
5. When advertising or commercial purposes are prominent
6. Contents deemed to be in violation of other relevant laws and regulations

Article 13 (Restrictions on the attribution and use of copyrights)

① Copyright and other intellectual property rights for works written by Edge Plastic Surgery belong to Edge Plastic Surgery.
② Members shall not reproduce, transmit, publish, distribute, broadcast or otherwise use the information obtained from the use of EDGE Plastic Surgery for commercial purposes or use it to third parties without prior consent from Edge Plastic Surgery.

Article 14 (Regulations on Consultation)

① The contents of the consultation conducted in the service can be used for the following purposes after deleting personal information.
1) Academic activities
2) Medical activities
3) Medical services
4) Authoring activities such as print, CD-ROM, etc
5) Part of the service content, such as FAQs, referral consultations, etc

Article 15 (Amendment of Terms and Conditions)

① EDGE Plastic Surgery may revise these terms and conditions to the extent that they do not violate related laws, such as the Act on the Regulation of Terms and Conditions, the Framework Act on Electronic Transactions, the Electronic Signature Act, and the Promotion of Information and Communication Network Utilization.
② When EDGE Plastic Surgery revises these terms and conditions, it shall specify the date of application and the reason for the revision and announce it on the initial screen from 7 days before the date of application to the day before the application date.
③ When EDGE Plastic Surgery revises these terms and conditions, the revised terms and conditions also apply to members who joined prior to the amendment, as long as the amendments do not violate the relevant laws and regulations.
④ Members who have objections to the changed terms and conditions may withdraw pursuant to Article 6, Paragraph 1.

Article 16 (Judicial jurisdiction)

A lawsuit arising from a dispute over the use of the service between Edge Plastic Surgery and its members is filed with the court of the Republic of Korea, which has jurisdiction under the Civil Procedure Act.

Supplementary Provisions
These Terms and Conditions shall be in use beginning on June 28, 2011 and until new terms and conditions are released.